TKA Enhances Mobility and Quality of Life in Ankylosed Knee Patients Despite Higher Complication Risk: Study
- byDoctor News Daily Team
- 06 November, 2025
- 0 Comments
- 0 Mins
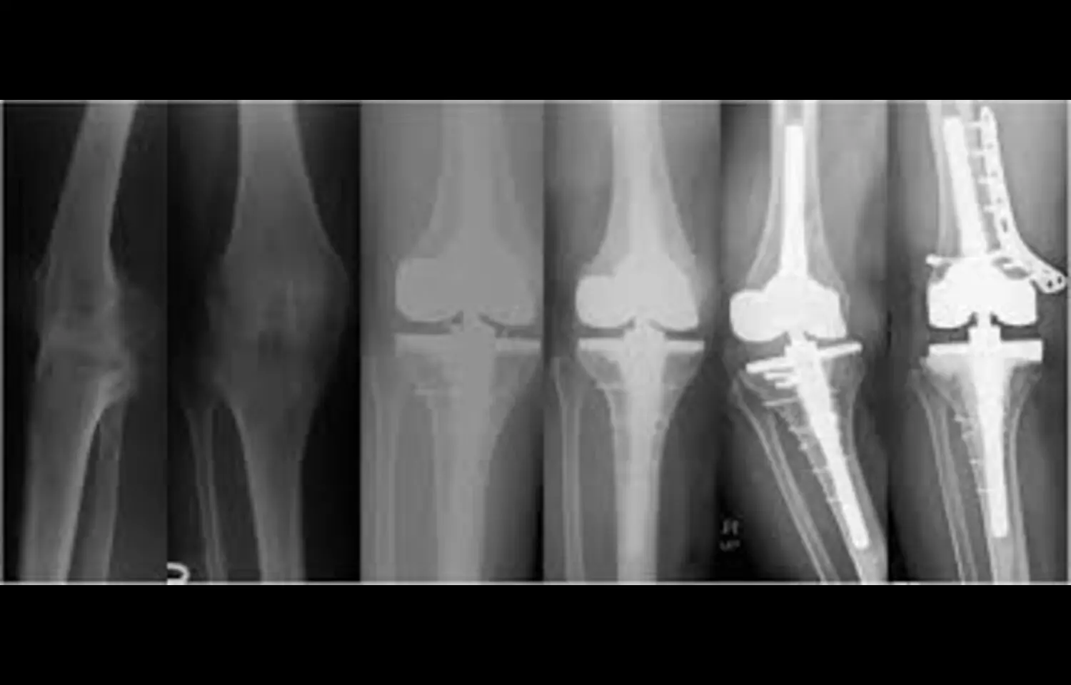
Total knee arthroplasty (TKA) is widely used to treat end-stage knee disorders, but its role in ankylosed knees has long been debated due to the technical complexity and heightened risk of complications. A recent study has provided important insights, showing that although patients with ankylosed knees experience lower recovery of range of motion (ROM) and face higher complication rates compared with conventional osteoarthritis cases, Total knee arthroplasty still delivers meaningful improvements in function, mobility, and quality of life. In this retrospective analysis, researchers evaluated outcomes of patients with ankylosed knees who underwent Total knee arthroplasty. Preoperatively, most patients had severely restricted or no motion, limiting independence and quality of life. After surgery, despite achieving less ROM than patients with non-ankylosed knees, participants reported significant improvements in flexion, extension, walking ability, and pain reduction. These functional gains translated into higher satisfaction levels and improved performance in daily living activities. However, the study also highlighted the elevated risk profile of Total knee arthroplasty in this population. Complications such as periprosthetic fractures, wound healing problems, prosthetic loosening, and infections occurred more frequently. Recovery of knee mobility was often incomplete, with gains falling short of those seen in routine arthroplasty. The findings emphasize the need for realistic preoperative counseling, careful surgical planning, and close postoperative monitoring. Despite these challenges, the clinical impact of Total knee arthroplasty in ankylosed knees was substantial. Even modest improvements in knee motion allowed patients to regain independence, reduce reliance on assistive devices, and improve psychosocial well-being. The study suggests that Total knee arthroplasty can be considered a viable and effective treatment option in patients with ankylosed knees, provided that both patients and surgeons are aware of the potential risks and limitations. Overall, this research reinforces the view that while Total knee arthroplasty in ankylosed knees carries higher complexity and complication rates, it remains a transformative intervention, improving mobility, functional independence, and quality of life in a patient group that otherwise faces profound disability.
Disclaimer: This website is designed for healthcare professionals and serves solely for informational purposes.
The content provided should not be interpreted as medical advice, diagnosis, treatment recommendations, prescriptions, or endorsements of specific medical practices. It is not a replacement for professional medical consultation or the expertise of a licensed healthcare provider.
Given the ever-evolving nature of medical science, we strive to keep our information accurate and up to date. However, we do not guarantee the completeness or accuracy of the content.
If you come across any inconsistencies, please reach out to us at
admin@doctornewsdaily.com.
We do not support or endorse medical opinions, treatments, or recommendations that contradict the advice of qualified healthcare professionals.
By using this website, you agree to our
Terms of Use,
Privacy Policy, and
Advertisement Policy.
For further details, please review our
Full Disclaimer.
Recent News
Only 31 percent families of doctors who died battl...
- 06 November, 2025
NEET 2025: MP DME releases mop up round allotment...
- 06 November, 2025
PG Medical Admissions 2025: CEE Kerala publishes f...
- 06 November, 2025
Venus Remedies expands presence in Vietnam with ma...
- 06 November, 2025
Daily Newsletter
Get all the top stories from Blogs to keep track.
0 Comments
Post a comment
No comments yet. Be the first to comment!